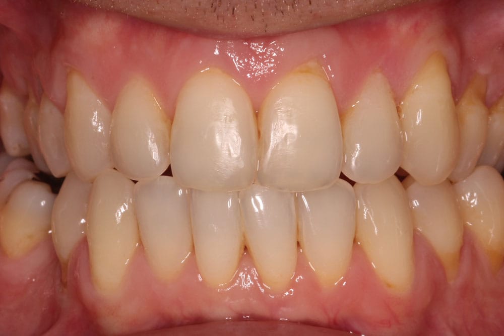
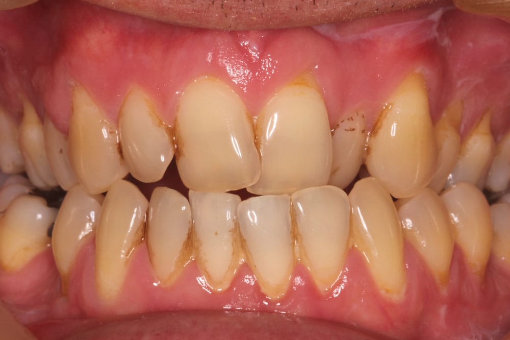
Our incredible real results
We’ve straightened so many smiles with Invisalign, enhancing our patients’ confidence and appearance and giving them the straight teeth they’ve always wanted. Take a look at some of our past cases and see what we can do! If you’d like to discover how we can help you find your dream straight smile, book your consultation today.
See more smiles

